Sitio dirigido a profesionales de la salud.

La información presentada en este sitio está dirigida únicamente a profesionales de la salud, si usted selecciona "ACEPTO" está verificando que es un profesional de la salud en México.

No

Hand in a blue surgical glove holding on to a piece of lab equipment in a lab

Preparación de las muestras

Aprenda a realizar la prueba de CLDN18.2 incluyendo el impacto de los factores pre-analíticos en la tinción1,2.

Grey concentric circles on light background

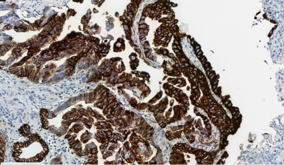
¿Porque utilizar los anticuerpos anti-CLDN18 para detectar CLDN18.2 en muestras de tumores G/UGE?

Los anticuerpos anti-CLDN18 pueden identificar ambas isoformas de CLDN18: CLDN18.1 y CLDN18.2. Sin embargo, cuando analice muestras de tejido de tumores G/UGE, puede confiar en atribuir la tinción a la presencia de CLDN18.2 debido a que2,3:

  • La CLDN18.1 se expresa principalmente en el tejido del adenocarcinoma pulmonar y su expresión es indetectable en los cánceres G/UGE3
  • La CLDN18.2 está presente normalmente en el epitelio gástrico y, a menudo, se sigue expresando en el tejido gástrico neoplásico3

Preparación y estudio previo de las muestras

Manejar y preparar adecuadamente la muestra es esencial para garantizar la exactitud de los resultados de biomarcadores.

overlayimage
play-icon

sample-preparation-and-testing

Video Overlay Titlle

Video Overlay description

sample-preparation-and-testing

closeicon
volumeicon

sample-preparation-and-testing

closeicon

sample-preparation-and-testing

transcript

¿Cómo se preparan las muestras para testing de CLDN18.2?

Dr. Takeshi Kuwata

Various grey circles on light background

Preparación de las muestras

Las guías recomiendan el mantenimiento diario del procesador de tejidos conforme a las recomendaciones del fabricante y un mantenimiento riguroso de la calidad de los líquidos del procesador, incluido el pH/pureza del formol y la contaminación del agua con alcoholes1.

Tiempo de isquemia fría

El tiempo de isquemia fría se limitará a ≤60 minutos de acuerdo con las guías actuales1.

Fijación

Las guías proporcionan recomendaciones sobre las características y la duración de la fijación de la muestra1.

Ruler icon

Características clave1

  • El tejido deberá estar completamente sumergido en el fijador.

  • Asegúrese de que la relación entre el volumen del fijador y la masa de tejido no sea inferior a 4:1, siendo la relación óptima de 10:1.

  • La parafina se derretirá a <60 °C.

  • La muestra contendrá suficiente tejido tumoral para su análisis.

Alarm clock icon

Duraciones clave1

  • Como parte de su estabilización, el tejido se fijará en formol al 10 % en tampón fosfato neutro (pH 7,0) durante al menos 6 horas y no más allá de 24 a 36 horas.

  • Si el tejido tiene un alto contenido en grasa, la fijación podrá requerir hasta 48 horas.

Fijación sub-óptima del tejido1

Es importante optimizar las variables pre-analíticas para minimizar los artefactos de tinción, que pueden interferir en la puntuación.

Cytoplasmic flushing due to suboptimal fixation

Decoloración citoplasmática debido a una fijación deficiente, lo que puede interferir con una puntuación adecuada de la membrana.

Preparación de las muestras2

  • Los tejidos procesados de forma rutinaria, fijados con formol e incluidos en parafina (FFPE), son adecuados para su uso en pruebas de IHQ.

  • Las muestras obtenidas mediante punción con aguja fina (PAF), las muestras de citología o de lesiones óseas metastásicas no son adecuadas para la tinción de CLDN18.

  • Los cortes de tejido puede ser de 3-6 µm*

  • Antes de la tinción, las laminillas con los cortes deberán secarse por completo a temperatura ambiente (secado al aire)
    o en el horno a 60 °C durante 60 minutos*
    .

* Especifico de CLDN18.

Condiciones de conservación1

Para garantizar la integridad de las muestras, las zonas de conservación deberán estar:

  • Secas

  • Libres de plagas

  • A temperatura ambiente (18-25 °C)

Green circles on dark background
Grey and green circles on dark background

Prueba

Opciones para la evaluación de la expresión IHQ de CLDN18.2

Hay varios anticuerpos, pruebas y plataformas disponibles para la evaluación de la expresión de CLDN18.2. Entre las pruebas y anticuerpos se encuentran la prueba de DIV VENTANA CLDN18 (43-14A), el anticuerpo anti-CLDN18 LSBio PathPlus™ y el anticuerpo recombinante anti-claudina 18 (43-14A). Entre las opciones de plataformas se encuentran BenchMark ULTRA, Dako Autostainer y Leica Bond4.

Esta lista de anticuerpos/pruebas y plataformas no es exhaustiva, y las pruebas mencionadas anteriormente no constituyen en la actualidad diagnósticos complementarios autorizados por la FDA. Utilice la prueba adecuada para orientar la toma de decisiones clínicas.

overlayvideoimage
play-icon

sample-preparation-and-testing

sample-preparation-and-testing

closeicon
volumeicon

sample-preparation-and-testing

closeicon

sample-preparation-and-testing

¿Cómo se realiza la prueba de CLDN18.2

Dr. Christoph Röcken,MD

Seleccione los controles adecuados

Es esencial utilizar controles adecuados para la detección de CLDN18.2 en muestras de tumores G/UGE. Aquí tienen algunos puntos clave para su selección y uso5.

Controles de validación

Las guías recomiendan que los laboratorios validen o verifiquen las pruebas de inmunohistoquímica antes de ponerlas al servicio clínico. Además, deberán incluir tejido positivo, negativo y dudoso, que reflejen el uso previsto de la prueba5

En el mercado hay varios tejidos de control de distintos proveedores:

Control de Calidad

  • Se recomienda utilizar controles de ejecución óptimos, tanto positivos como negativos2.
  • Se ha demostrado que el epitelio gástrico normal que incluye áreas de metaplasia intestinal gástrica es un ejemplo de control positivo y negativo adecuado2:
    • Tinción de membrana intensa en células epiteliales gástricas normales.
    • Tinción de membrana débil a moderada de células epiteliales en áreas de metaplasia.
    • Ausencia de tinción en la lámina propia, linfocitos, músculo liso, vasos sanguíneos y nervios periféricos.
  •  

  • Si los controles positivos no permiten demostrar la tinción, los resultados de la muestra de prueba se considerarán no válidos2.
  • Se utilizarán tejidos de control positivo conocidos únicamente para hacer un seguimiento del rendimiento de los reactivos y los instrumentos, no como ayuda para determinar el diagnóstico específico de las muestras de prueba2.

CAP PPMPT: College of American Pathologists Preanalytics for Precision Medicine Project Team (Equipo del proyecto de preanálisis para medicina de precisión del Colegio de Patólogos Estadounidenses); CLDN: claudina; CLDN18.1: isoforma 1 de la claudina 18; CLDN18.2: isoforma 2 de la claudina 18; DIV: diagnóstico in vitro; FDA: Administración de Alimentos y Medicamentos de Estados Unidos; IHQ: inmunohistoquímica; G/UGE: gástrico/unión gastroesofágica.

Plataformas y características de rendimiento de los anticuerpos

En un estudio de evaluación de la reproducibilidad y comparabilidad de tres anticuerpos anti-CLDN18 y plataformas de tinción con IHQ en una cohorte de 27 laboratorios generales4,*,†:

  • El rendimiento analítico (precisión, sensibilidad y especificidad) de la prueba de DIV VENTANA CLDN18 (43-14A) era >95 % y esta era reproducible en los 27 laboratorios en comparación con los resultados consenso de referencia2,4.
  • El rendimiento analítico fue equivalente al del ensayo DIV VENTANA (43-14A) para el anticuerpo de LSBio cuando la tinción se realizó con la plataforma de Dako o Leica4
  • La tinción fue reproducible para el anticuerpo de LSBio4.

*Los anticuerpos del estudio comprendían la prueba DIV VENTANA CLDN18 (43-14A) de Roche Tissue Diagnostics, el anticuerpo anti-CLDN18 PathPlus™ de LSBio y el anticuerpo anti-claudina-18 de Novus Biologicals. Entre las plataformas se encuentran BenchMark ULTRA, Dako Autostainer y Leica Bond4.

Las puntuaciones consenso de referencia de todos los anticuerpos para cada muestra se determinaron mediante revisión patológica a nivel central. La positividad para CLDN18.2 se definió con un umbral ≥75 % de células tumorales que expresaban CLDN18 de membrana con una intensidad de tinción de moderada a intensa (≥2+). En consecuencia, se pidió a los patólogos participantes que enviaran una opción binaria de tinción positiva/negativa así como una estimación del porcentaje de células teñidas. El puntaje de IHQ enviadas por el laboratorio se compararon con el puntaje del consenso de referencia y se consideraron discordantes si el resultado binario positivo/negativo difería. Los análisis estadísticos se realizaron mediante comparación y se aplicó un criterio de aceptación del 85 % (≥0,85)4.

 

Howtoprepare-Background

Realizar las pruebas de inmediato, puede mejorar los resultados de los pacientes

El retraso en la prueba de biomarcadores puede empeorar los resultados clínicos

Las guías recomiendan testear en el momento del diagnóstico todos los biomarcadores aplicables disponibles, como HER2, en caso de identificación o sospecha de cáncer gástrico metastásico6.

Las guías de la ESMO recomiendan realizar una prueba para la CLDN18.26.

Cualquier nuevo biomarcador se probará simultáneamente con otros biomarcadores para permitir una notificación temprana de los resultados6,7.

Las pruebas inmediatas permiten iniciar antes la terapia dirigida, lo que mejora los resultados clínicos.

En una cohorte de pacientes con tumores avanzados de diferentes tipos de cáncer (N = 1423), el establecimiento de un protocolo de pruebas realizadas en el momento del diagnóstico se asoció a una mejora de la supervivencia global7.

SG a los 12 meses
70.1%
(IC 95 %: 64,4-76,3) en pacientes tratados con terapia dirigida
62.9%
(IC 95 %: 58,8-67,3) en pacientes tratados solo con quimioterapia

Tenemos evidencias de que la implementación inmediata de las pruebas, mejora los resultados de los pacientes. Es fundamental que, en el momento del diagnóstico, los patólogos defiendan la realización de los biomarcadores aplicables prevalentes

Dr. Matteo Fassan, MD, PhD

Profile photo of Dr. Matteo Fassan
MatteoFassan

Realizar los biomarcadores al momento del diagnóstico, mejora la atención del paciente, ya que la rápida disponibilidad de los resultados permite iniciar a tiempo una terapia sistémica óptima7.

spirals_corner
how-to-prepare-stains

Más información sobre la interpretación de la expresión de CLDN18.2

Referencias: 1. Compton CC, Robb JA, Anderson MW, et al. Preanalytics and precision pathology: pathology practices to ensure molecular integrity of cancer patient biospecimens for precision medicine. Arch Pathol Lab Med 2019;143(11):1346-63. 2. Ventana CLDN18 (43-14A) assay [package insert]. Mannheim, Germany: Roche Diagnostics GmbH. 3. Sahin U, Koslowski M, Dhaene K, et al. Claudin-18 splice variant 2 is a pan-cancer target suitable for therapeutic antibody development. Clin Cancer Res 2008;14(23):7624-34. 4. Jasani B, Schildhaus HU, Taniere P, et al. Global ring study determining reproducibility and comparability of CLDN18 testing assays in gastric cancer. Poster presented at: ESMO Targeted Anticancer Therapies Congress; March 6-8, 2023; Paris, France. 5. College of American Pathologists. IHC assays—New evidence-based guideline for analytic validation (04-01-2004). https://documents.cap.org/documents/ihc-validation-webinar-handout.pdf. Accessed 03-30-2023. 6. ESMO Gastric Cancer Living Guidelines (07-2023). https://www.esmo.org/living-guidelines/esmo-gastric-cancer-living-guideline/diagnosis-pathology-and-molecular-biology/article/diagnosis-pathology-and-molecular-biology. Accessed 09-07-2023. 7. Piening B, Bapat B, Weerasinghe RK, et al. Improved outcomes from reflex comprehensive genomic profiling-guided precision therapeutic selection across a major US healthcare system [Abstract 6622]. J Clin Oncol 2023;41(Suppl 16).